Konya'da şoke eden olay: 6 yıldır omzunda mermi taşıyormuş!
Konya'nın Akşehir ilçesinde altı yıl önce yorgun merminin hedefi olan okul müdürü Celal Şenyiğit, yıllar sonra vücudundaki mermiyle yeniden hastaneye kaldırıldı. Zamanla koltuk altına ilerleyen mermi, başarılı bir operasyonla çıkarıldı.
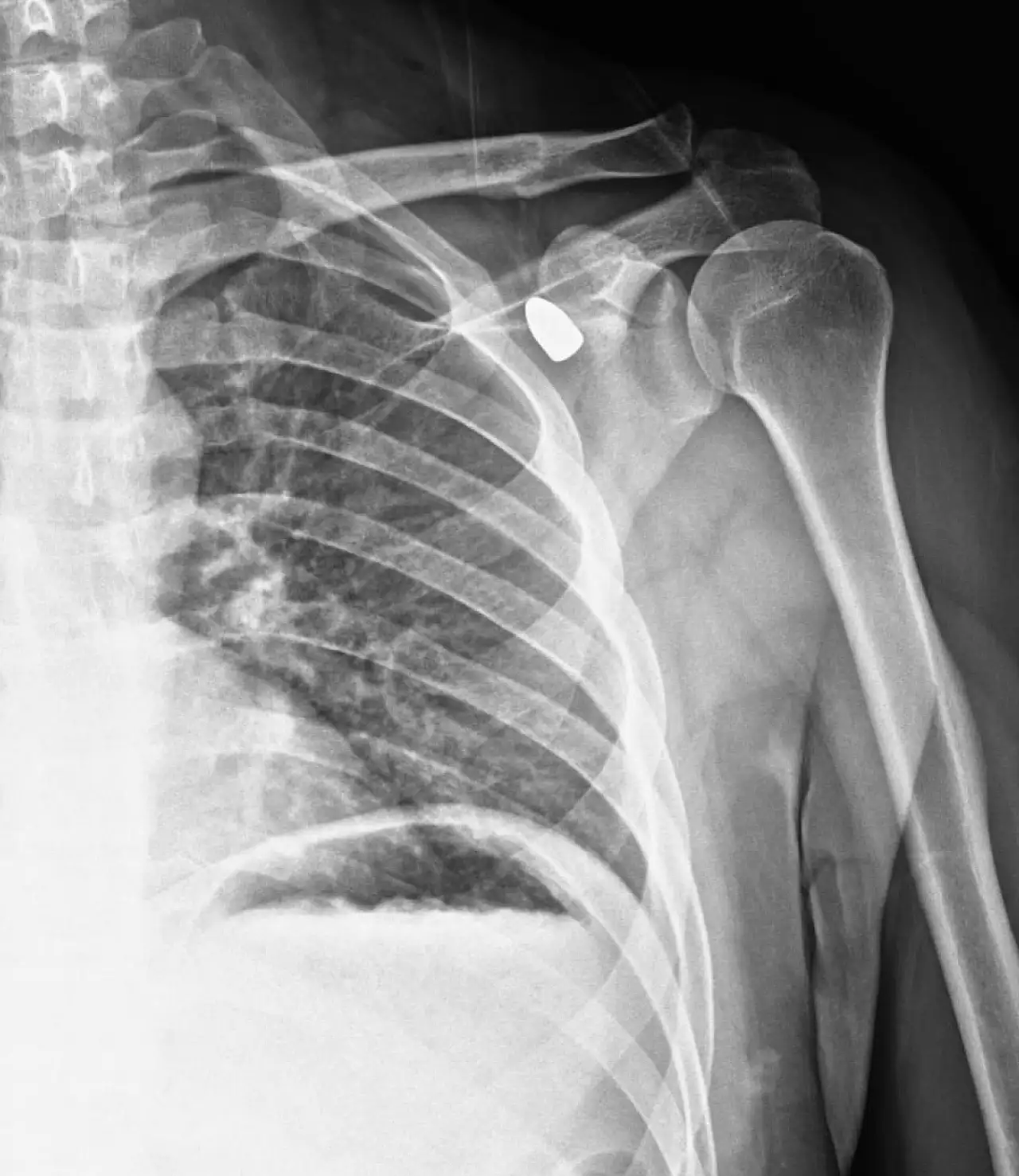
Konya'nın Akşehir ilçesinde altı yıl önce bir okul müdürünün omzuna isabet eden yorgun mermi tıbbi müdahale sonucu çıkarıldı.
Okul müdürü Celal Şenyiğit, Adsız Mahallesi'ndeki çay ocağında, altı yıl önce omzuna isabet eden yorgun mermiyle yaralandı.
Hareket kaybı riski sebebiyle çıkarılamayan mermi, zamanla Şenyiğit'in koltuk altına ilerledi. Ağrı ve sertlik şikayetiyle Akşehir Devlet Hastanesine başvuran Şenyiğit'in koltuk altındaki kitlenin, omzuna saplanan yorgun mermi olduğu belirlendi.
Mermi, gerçekleştirilen operasyonla çıkarıldı.
Şenyiğit, olaya ilişkin şikayetçi olduğunu, çıkarılan merminin incelemeye gönderildiğini aktardı.